I have received a cancer diagnose last year. Thankfully my predating interest in metabolism already exposed me to lots of research material, including about cancer. I already collected material in the event I would ever get cancer. It may seem a bit ironic but we have a high chance being faced with it in our eventual life, either personally or someone close to us. I look at it from the positive side, it gave me a head start in figuring out what to do about it .
It allowed me to put together a number of things that would, at least in theory, help cure my cancer. Now it was time to put that theory into practice.
Along came my brother in law with glioblastoma half a year later who I have guided onto the protocol with great results so far.
I want to share with you my protocol because research is advancing in the field of standards of care (SOC) which means surgery, radiation and chemo, and the combination of it with dietary therapy. Specifically the ketogenic diet is promising but why should you have to wait another 10 or 20 years before they make it part of a suggestion in therapy.
Why combining it with the ketogenic diet? Research is stil frail but positive. What I’ve seen from papers is that a very low carb diet, which the ketogenic diet is, is creating a much more favorable environment to target cancer with SOC of which all the details still need to be unraveled.
It modulates the immune system, lowers growth factors, reduces usable energy metabolites etc. Underneath the description of the protocol I go a bit deeper into the effects of each so that you can understand why they are part of it.
In the unfortunate event that you are unable to stop the cancer, the protocol will provide you a much needed reduction in side effects. That alone makes it already worth doing.
So let’s first have a look at the protocol and then the rationale of it.
The Protocol
Below are the elements required and we’ll see how to put them into practice.
I want to stress though, if you want this to be successful then under no circumstances deviate from it. More curcumin and more omega-3 is OK but more protein is not OK, less ketogenic is not OK. They all have a specific purpose, including the timing! Read the explanation below to be better informed about the why.
- Curcumin (Theracurmin double strength)
- Omega-3 oil (EPA; DHA)
- Melatonin
- MCT oil
- Ketogenic diet – High on fat, very very low carbohydrate (<20% but preferably as close to zero as possible)
- Minimal protein
- Vitamin D3
To be avoided
- Seed oils (omega-6) -> negates omega-3 effect
- Late screen time -> negates melatonin production
- Stress -> raises glucose -> could raises insulin -> negates curcumin effect
- Carbohydrates -> raises glucose -> raises insulin -> negates curcumin effect
- Milk, dairy -> raises insulin -> negates curcumin effect
WARNING
This protocol contains a ketogenic diet. It requires some adjusting for your body to get into it which may lead to some discomfort at first. In the initial phase you may loose weight through fluid clearance. This also clears some electrolytes so make sure you take up a bit more salt.
Get acquainted with the diet and the side effects during initiation. Stick through it and check around how to resolve the issues. If issues occur, they are normally very minor and generally require a little bit of adjustment and they fade away after about the second week.
Practically
Get an estimation of your body weight and fat percentage so that you know how much protein you can eat. For example, an 80kg person with 20% body fat means 80 * 20% = 16 kg of fat. 80 – 16 = 64 kg of lean mass. We simply change the kg of lean mass to gram so we get 64 gr of protein per day. This looks very little but I’ll explain further down.
The intake of protein has to be spread across the day, we’ll do that in 3 meals. Roughly 25%, 30% and 45%. It doesn’t have to be super exact but make sure the morning contains less and the evening more but don’t change it too much. 20%, 30%, 50% is still OK or 20%, 35%, 45%. So according to the example above: 25% of 64gr or 16gr protein for breakfast, 30% of 64gr or 19.2gr at lunch and 45% of 64gr or 28.8gr.
Daily schedule

As soon as you wake up, take 4 pills of the Theracurmin double strength and 1 pill of Omega-3 supplement containing DHA. Do the same right before going to bed but now also include the melatonin (+/- 3mg).
Vitamin D3 is not shown on the schedule but I recommend to take a daily dose in the morning and/or before exercise and to start taking it as soon as possible. It takes a while before your plasma level is up so just covering the SOC period is not enough. 10 000 IU every day will likely be needed. This may seem as a lot initially but you have to understand that vitamin D3 supports your immune system and your immune system will be consuming vitamin D3. It is important to keep the level up. Personally I want to reach around 80 mg/dL of 25(OH)D to make sure I hit the maximum out of the linear dose reponse that it brings.
As you can see from the graph, it takes 4 months to reach the plateau of +/- 80 mg/dL with a daily dosage of 10 000 IU (250 microgr).
MCT oil must be taken regularly throughout the day. I’ve mentioned 8 times on the schedule. You can vary to more times but I would not recommend less than 5 times. You can, for example, make a blend called bulletproof coffee which is the MCT mixed with coffee, butter (real butter!) and coconut oil. Be creative, take it however you want but take as much as possible and regularly throughout the day.
Breakfast, lunch and diner are high fat, ketogenic meals, preferably zero carb but at least very very low carb. How high in fat? As much as you can comfortably eat to feel full. If you are still hungry after a meal or if you are losing weight, increase fat intake. You will not get fat from the fat. More than likely you will be losing weight. Even if you would gain, you can sort that out after getting cured from cancer!
There is no snacking between the meals. You will not be hungry anyway but (bad) habits can be strong. No sugary drinks at all, no fruit, no nuts & seeds, no low-carb candy bar etc… We aim for zero carb during the whole day and limit dietary intake to those 3 meals.
Do your best to leave 4 hours between diner and going to bed. The more hours in between the better. But aim for at least 4 hours.
Period
The protocol should be applied at least across the duration of SOC. The ketogenic diet however is recommended for the rest of your life. It is one thing to get cured from cancer but you need to prevent recurrence as well.
The good thing is that, perhaps apart from rare genetic issues, this protocol is safe to apply for long duration. So if the tumor is receding but not so fast, you can continue applying the protocol for a longer period. The diet itself is covered by a lot of research, showing improvements in health. For example it is used to treat epilepsy and reverse Type 2 Diabetes. In general it will make you a healthier person.
Example cases
Myself
I was diagnosed with nodular lymphocyte-predominant Hodgkin lymphoma. I had the luxury to try out my protocol without SOC because it was a slow growing tumor. I wanted to know its strength, a first try-out of the theory. Note that I was about 2.5 years on very low carb at the moment of diagnosis, have applied the full protocol without SOC for about 1 month and after the protocol I remained very low carb.
Now 1 year later, there is no change in size. No regression but also no worsening. It is possible that my case proves itself rather difficult to cure with the protocol alone because it is located in lymph glands with cancerous b-cells. Cells that are themselves part of the immune system and designed to clear cancerous cells.
I have started radiation therapy and we’ll see how that works out in a couple of months.
Glioblastoma case
My brother in law was diagnosed with glioblastoma with a high % chance of recurrence within 5 years. The standard protocol was applied. First surgical removal of the tumor followed by radiotherapy combined with chemotherapy. The periods of standard treatment, apart from the surgery, were every time fully covered by my protocol.
The first image is before surgery showing the tumor on the back side of the brain on the left.

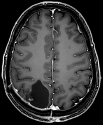
The following picture is the result after surgery.

The protocol was started shortly before radiotherapy and chemotherapy, which lasted for 1.5 months. He was essentially symptom free from the treatment. It was so remarkable that he was interviewed because of it.

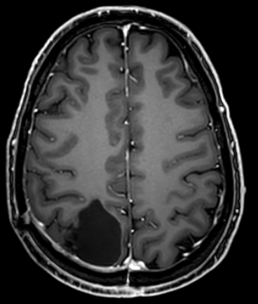
The MRI after 3 months, shown below, is encouraging. No relapse so far.

The treatment is not finished yet. There are 6 rounds of 1 full week of heavy chemo whereby he follows the protocol starting 1 week before and covering the week of the chemo. Throughout the rest of the period he remains close to very low carb but not fully.
We’ll have to wait for the next 5 years to see how successful we have been but in the mean time another scan was done, 6 months post surgery, with a doctor who was very enthusiastic about the result. Still nothing came back so far. Crossing fingers.
Explanation
The beauty of this treatment is that it targets the energy source of cancer, it targets the uptake mechanism of the energy and actively works on the growth mechanism without negatively affecting healthy cells. Secondary, it also helps activate immune cells promoting the detection and clearance of cancer cells. In addition it can even work to augment the effectiveness of certain chemo drugs like temozolomide (1) (2) .
Sounds too good to be true? It isn’t but it is also no miracle cure by itself. Cancer is a though beast to handle. The cancer cells live in a tumor micro-environment which needs to be destroyed as well. The protocol is a potent adjuvant to SOC.
PS: The references below are just there as a first hint if you want to look into it more deeply. I didn’t provide a reference for every statement but in case you want to delve into it deeper, I’ve mentioned the molecules involved so it should be relatively easy to come up with the research.
Curcumin
Curcumin has been widely studies, also in combination with cancer treatment. It shows great potential and while its effects are via multiple mechanisms, perhaps the most important one is PI3K inhibition in cancer cells. However, raising insulin very potently increases PI3K activation and destroys the effect that curcumin has on PI3K, therefore it is vital to keep insulin low. That is why the first meal should be zero carb but also very low in protein, to let curcumin work while insulin is low. This is also the reason why I recommend 4 hours between dinner and bedtime with curcumin so that insulin is low enough for curcumin to do its work during the night without being hindered by insulin.
Plain curcumin powder will not work !!! The absorption is very bad and we need to get a high enough dosage into the cancer cells. The reason I recommend Theracurmin is because this has shown to be the highest bio-available form. I am not affiliated with them and will not hesitate to recommend a different brand if I find another one that has a higher bio-availability. However, my experience is with this brand and dosage.
“Inhibition of the PI3K/AKT-NF-κB pathway with curcumin enhanced radiation-induced apoptosis in human Burkitt’s lymphoma.” – Qiao Q, Jiang Y, Li G – 2013 – https://www.ncbi.nlm.nih.gov/pubmed/23603894
“Curcumin Inhibits Joint Contracture through PTEN Demethylation and Targeting PI3K/Akt/mTOR Pathway in Myofibroblasts from Human Joint Capsule” – Ze Zhuang, Dongjie Yu, Zheng Chen, Dezhao Liu, Guohui Yuan, Ni Yirong, Linlin Sun, Yuangao Liu, Ronghan He, and Kun Wang – 2019 – https://www.hindawi.com/journals/ecam/2019/4301238/
“Antitumor activity of curcumin by modulation of apoptosis and autophagy in human lung cancer A549 cells through inhibiting PI3K/Akt/mTOR pathway.” – Liu F, Gao S, Yang Y, Zhao X, Fan Y, Ma W, Yang D, Yang A, Yu Y- 2018 – https://www.ncbi.nlm.nih.gov/pubmed/29328421
DHA (Omega-3)
One specific feature of the fatty acid DHA is that it needs to have its place in the cell membrane. By taking it as a supplement we increase our intake and chances for it to end up in the cell membrane. This is very crucial because DHA has been shown to prevent the conversion from PIP2 to PIP3. PI3K triggers the conversion of PIP2 to PIP3 and from there AKT gets activated which in turn stimulates mTORC1 resulting in growth. Omega-6 oils displace DHA in the cell membrane so we want to avoid omega-6 (seed oils).
“Polyunsaturated fatty acids affect the localization and signaling of PIP3/AKT in prostate cancer cells” – Zhennan Gu, Jiansheng Wu, Shihua Wang, Janel Suburu, Haiqin Chen, Michael J. Thomas, Lihong Shi, Iris J. Edwards, Isabelle M. Berquin, and Yong Q. Chen – 2013 – https://www.ncbi.nlm.nih.gov/pmc/articles/PMC3765042/
Melatonin
Melatonin has many synergistic effects with the keto diet and curcumin. They all enhance fat metabolism, forcing cells to adapt to it or die if they cannot. Furthermore it is able to destabilize HIF-1a and inhibit AKT expression and phosphorylation (activation). Both important factors in the growth of cells.
“Melatonin in Mitochondria: Mitigating Clear and Present Dangers.” – Reiter RJ, Ma Q, Sharma R – 2020 – https://www.ncbi.nlm.nih.gov/pubmed/32024428
“Melatonin suppresses tumor angiogenesis by inhibiting HIF-1alpha stabilization under hypoxia” – Park SY, Jang WJ, Yi EY, Jang JY, Jung Y, Jeong JW, Kim YJ – 2010 – https://www.ncbi.nlm.nih.gov/pubmed/20449875
“Downregulation of AKT and MDM2, Melatonin Induces Apoptosis in AGS and MGC803 Cells.” – Song J, Ma SJ, Luo JH, Liu H, Li L, Zhang ZG, Chen LS, Zhou RX – 2019 – https://www.ncbi.nlm.nih.gov/pubmed/30809951
We have an opportunity to make the effect of curcumin stronger by combining it with melatonin. I have only found 1 example but I don’t see a reason, for now, to think that the effect would only be limited to this case. Of course further studies will have to validate against other forms of cancer.
AKT and mTORC1 and mTORC2 (driven by PI3K) all 3 target NF-kB which further drives growth transcription. So it is great to see that the combination of curcumin and melatonin together have a higher potency to stop NF-kB.
“Melatonin potentiates the antitumor effect of curcumin by inhibiting IKKβ/NF-κB/COX-2 signaling pathway” – Sandeep Shrestha, Jiabin Zhu, Qi Wang, Xiaohui Du, Fen Liu, Jianing Jiang, Jing Song, Jinshan Xing, Dongdong Sun, Qingjuan Hou, Yulin Peng, Jun Zhao, Xiuzhen Sun, and Xishuang Song – 2017 – https://www.ncbi.nlm.nih.gov/pmc/articles/PMC5592853/
Melatonin’s actions don’t stop there! It actually forces cancer cells to reduce glycolysis in the cytosol by increasing the uptake of pyruvate in the mitochondria. It lowers the lactate production and fast ATP production that are normally the result of glycolysis.
Melatonin also helps to scavenge electrons in the electron transport chain that didn’t flow through it correctly and would otherwise create reactive oxygen species (ROS). It is so important, melatonin even increases endogenous antioxidant production. SOD2 activity is increased via SIRT3 on which melatonin has an enhancing effect.
Melatonin uptake into cells is thought to be through GLUT1. It likely competes with glucose for uptake into cells of which the result is a lower uptake of glucose.
“Melatonin in Mitochondria: Mitigating Clear and Present Dangers” – Russel J. Reiter, Qiang Ma, and Ramaswamy Sharma – 2020 – https://journals.physiology.org/doi/full/10.1152/physiol.00034.2019
“Melatonin uptake through glucose transporters: a new target for melatonin inhibition of cancer.” – Hevia D, González-Menéndez P, Quiros-González I, Miar A, Rodríguez-García A, Tan DX, Reiter RJ, Mayo JC, Sainz RM – 2015 – https://www.ncbi.nlm.nih.gov/pubmed/25612238
Furthermore, there is interaction between glucose, insulin and melatonin. Taking melatonin supplement has the ability to lower insulin and glucose secretion providing additional power to curcumin in its fight against PI3K.
It inhibits gluconeogenesis in the liver and increases glucose uptake in skeletal muscle and adipose tissue helping to reduce glucose availability to cancer cells.
“Melatonin Uptake by Cells: An Answer to Its Relationship with Glucose?” – Mayo JC, Aguado A, Cernuda-Cernuda R, Álvarez-Artime A, Cepas V, Quirós-González I, Hevia D, Sáinz RM – 2018 – https://www.ncbi.nlm.nih.gov/pubmed/30103453
“Melatonin Signaling a Key Regulator of Glucose Homeostasis and Energy Metabolism” – Sharon Owino, Daniella D. C. Buonfiglio, Cynthia Tchio, and Gianluca Tosini – 2019 – https://www.ncbi.nlm.nih.gov/pmc/articles/PMC6651071/
Vitamin D
The effects of vitamin D on the immune system are very important. When the immune cells need to be activated, they’ll increase their expression of vitamin D receptors to take in vitamin D. The vitamin supports differentiation of cells which cancer cells have trouble with and works against metastasis and works anti-proliferation.
Ketogenesis
Many research results show positive effect of endogenous ketone production while undergoing cancer treatment. This is clear in petri dish, mice and rat studies and also in human studies and has been shown to slow and even stop progression.
Getting the ketone production high enough suppresses glucose output from the liver. This lowers substrate availability for the cancer cells. A ketogenic diet also keeps insulin very low which is needed for curcumin to be effective.
Cancer cachexia is in part serving as a source of glucose. A ketogenic diet will oppose skeletal muscle breakdown preventing or slowing down cachexia.
All inflammatory markers go down on a ketogenic diet. This is important as the cancer treatment (radiation/chemo) will cause higher levels of inflammation putting a burden on your body. This inflammation will raise triglyceride levels giving cancer cells the building blocks to proliferate.
A very important extra is that it also helps stimulate the activation of T-cells and NK-cells through better oxygenation of the tumor microenvironment. BHB also helps T-cells to build up a better glycogen reserve to have a better burst growth in case of pathogens. Being treated with radiation and/or chemo will affect your immune system making you more vulnerable for disease so you need this re-enforcement.
One of the main reasons normal cells are protected is because they are able to adapt to the high fat diet. Cancer cells have a problem with this. Melatonin, ketones and curcumin all optimize fat metabolism essentially shifting the environment into one that is detrimental for cancer.
“Up-regulation of FOXO1 and reduced inflammation by β-hydroxybutyric acid are essential diet restriction benefits against liver injury.” – Miyauchi T, Uchida Y, Kadono K, Hirao H, Kawasoe J, Watanabe T, Ueda S, Okajima H, Terajima H, Uemoto S – 2019 – https://www.ncbi.nlm.nih.gov/pubmed/31196960
MCT
The MCT oil is very easily converted to ketones. Together with the bulletproof coffee and the ketogenic diet, we’ll be able to stimulate a high enough level of beta-hydroxybutyrate (BHB). The butter, cream and coffee itself all either deliver fats that can be easily converted to BHB or, in case of the caffeine, it stimulates fat release which also helps raise BHB. If you can measure your blood level of BHB then we want to aim for above 1 mmol. Higher is better but let’s say don’t let it get much higher than 5~6 mmol measuring fasted in the morning.
So MCT and the bulletproof coffee essentially help the ketogenic diet to raise BHB.
Low protein
Meat and fish are high in proteins. These proteins, when eaten, are broken down into amino acids. A number of these amino acids serve as a signal in the body to stimulate growth via insulin secretion but also directly, sensed in the cell via mTOR. While there is nothing wrong with growth in itself, during cancer treatment we want to avoid any stimulation of growth as it is overstimulated in cancer cells.
We want to be able to kill the cancer cells at a higher rate then the growth of new cancer cells. Otherwise the tumor can never shrink. When insulin is raised, even only modestly by protein intake then insulin is raised across the whole body, also in the cancer cells.
We can’t afford not to eat protein but taking in protein together with fat causes a reduced speed of absorption with a lowered peak activation of insulin so being on a high fat diet will greatly help to reduce the insulinogenic impact.
“Stimulation of insulin secretion by amino acids.” – J C Floyd, Jr, S S Fajans, J W Conn, R F Knopf, and J Rull – 1966 – https://www.ncbi.nlm.nih.gov/pmc/articles/PMC292828
Keto meal examples
Below are some pictures from my brother-in-law. He jumped from one day to the next on this diet and was able to adapt within the guidelines. This is to give you an idea of what to eat. There are plenty of resources on the internet but some are not always so strict on carbs because they don’t have cancer in mind.
It basically comes down to a wide variety of vegetables and a source of animal protein such as fish, chicken, pork, beef etc.. mixed in with a lot of fat. When I say a lot of fat, I literally mean 70% and upwards of your total caloric intake. Fat is your friend.
A small note on the vegetables. Some are high in carbohydrates and are therefore completely excluded such as any type of potato and legumes. Other vegetables such as carrots and parsnip are relatively high. They can be put on the plate but in lower quantities. Keep in mind, we do not want to stimulate insulin with protein but neither with carbohydrates.
Especially the combination of carbohydrates with protein is very potent at stimulating insulin. This is very bad and to be avoided at all cost.
Extra
The protocol can be overwhelming at first but once you’ve settled in it is actually not that big of a deal. Once you are comfortable with it you can always step it up a notch. Below are a few topics which deserve attention and can be applied when physical energy permits, when the mental state allows for it. They can be applied at a delayed stage as well but I recommend to start as early as possible and maintain it as long as possible, without forcing yourself! No stress, if you don’t feel like it then don’t. I do find them worth to consider.
Oxygen
Not oxygen supply but acute oxygen deprivation will help stimulate the body to adapt to a low oxygen state. Hypoxia actually stimulates autophagy (which insulin prevents). There are breathing exercises that will create acute hypoxia to which the body will react by creating more capillaries and increase hematocrit and hemoglobin so that more oxygen can be carried and distributed within the body. Follow the link or search on my page for “breathing” and you’ll find an exercise I have composed to get you started. It was posted in December 2019.
Activity
Together with curcumin, ketogenic diet and melatonin, being active moves the whole body into the same optimization for fat metabolism. Aerobic activity helps to get adapted and keep those muscles insulin sensitive and receptive to glucose. In the event that glucose and/or insulin would rise, we need the skeletal muscles there to buffer as much as possible.
A tumor is also dependent on lactate. By performing aerobic activity you stimulate the circulation of plasma, possibly helping to clear the lactate from the tumor environment. Lactate suppresses immune function and is involved in spreading (metastasis) of the cancer and is converted to useful metabolites by other cells and shared again with cancer cells.
Don’t overdo the exercise though. Making it too intense also puts a burden on your immune system. Keep it light to moderate, minimum 30 minutes and preferably around an hour every day. The heart rate should go up but you shouldn’t loose your breath while talking.
Cold exposure
Similar to exercise we can make sure glucose is taken up by brown and white fat and our skeletal muscles through cold exposure. The cells will try to generate heat using glucose increasing their uptake and consumption. There are 2 common ways to do this and that is taking cold showers and/or taking ice baths. The level of exposure that is needed is not always clear, this for both duration and temperature. I have adopted a habit of always taking cold showers.
Zinc
The immune system and building muscle requires a lot of zinc so my basic recommendation would be to monitor zinc status and make sure you are not low. Aim for being at least in the middle of the reference range but don’t stress over it. Take a zinc supplement if needed. Increasing your vitamin D level will also increase the absorption rate of zinc.
Inonotus obliquus (Chaga mushroom)
All interventions are aimed at enhancing fat metabolism and shifting away from glucose metabolism together with lowering glucose availability.
Chaga has been researched and shows potent anti-cancer abilities. Its action is also targeted to enhance fat metabolism.
“Continuous intake of the Chaga mushroom (Inonotus obliquus) aqueous extract suppresses cancer progression and maintains body temperature in mice” – Satoru Arata, Jun Watanabe, Masako Maeda, Masato Yamamoto, Hideto Matsuhashi, Mamiko Mochizuki, Nobuyuki Kagami, Kazuho Honda, and Masahiro Inagaki – 2016 – https://www.ncbi.nlm.nih.gov/pmc/articles/PMC4946216/
“Chemical and medicobiological properties of chaga (review)” – M. Ya. Shashkina, P. N. Shashkin & A. V. Sergeev – 2006 – https://link.springer.com/article/10.1007/s11094-006-0194-4
“Insulin-sensitizing and beneficial lipid-metabolic effects of the water-soluble melanin complex extracted from Inonotus obliquus.” – Lee JH1, Hyun CK – 2014 – https://www.ncbi.nlm.nih.gov/pubmed/24615848/
“Antitumor activity of water extract of a mushroom, Inonotus obliquus, against HT-29 human colon cancer cells.” – Lee SH, Hwang HS, Yun JW – 2009 – https://www.ncbi.nlm.nih.gov/pubmed/19367670
With all these extras you now have a range of additional tools to use in case you have the energy and feel you can take up an extra arsenal of cancer suppressing adjuvants.
Prevention
I want to keep this section light but informative enough so you can think about how to prevent getting cancer in the first place.
I would describe cancer as a state of forced growth. This is because a lot of the hallmarks of cancer, the so called oncogenes, deformed mitochondria, lactate production etc… are all normal (!) for a growing cell. It doesn’t make it cancer. What makes it cancer, to my view, is that it can’t get out of this growth state.
So how do we get into this state? There are many causal factors of which genetic mutation can be one of them but it is unlikely to be the only causal factor apart from some rare cases. Detrimental genetic mutations are on the rare side.
Consider it like fire, you need a fuel, a heat source (for example a spark) and oxygen. None of them alone cause fire but we all think of fuel as THE single component that causes it.
For cancer, you preferably need a low oxygen environment (fructose will do just fine!), you need a growth stimulating environment (high carb -> insulin, check). You can add a higher omega-6 (seed oils) to push away the protective effect of DHA and you now have… the standard American diet (SAD) diet.. as a good basis to increase your risk. SAD but true.
Now it is just a matter of time under this highly inflammatory state to get the right (epi)genetic change that will push a cell over the edge to become locked into this growth state. It almost universally results in an augmented expression of PI3K (stimulate growth) and/or PTEN (suppresses growth) ablation hence the protocol targets PI3K. PTEN is there to control PI3K so both an over-activation of PI3K or reduction in PTEN activity can set you on the path to cancer. This over-activation or suppression both can come from a genetic modification but this modification results from a disturbed metabolism.
There are 2 fields of thought which is the genetics origin and the metabolism origin as causes for cancer. Analogous to the fire, both have a role to play. Without the genetic mutation you don’t get a lock-in in growth but without the disturbed metabolism you can’t create the genetic mutation that easily (unless for those rare cases).
The book of David Sinclair was helpful in this because he explained that our cells have a mechanism that supports either growth or repair but can’t do both. By stimulating growth which insulin does powerfully, you don’t give the cell time to do repair of damage, particularly to the DNA.
The damage is caused by the growth so that’s why there is always a swing needed from growth to repair and back. This cycle comes automatically from feeding and not feeding but under conditions of high insulin and lack of oxygen we end up in a state continuously stimulating growth or at least a state where we can’t get sufficient DNA repair done. At some point the right strings (DNA mutations) are touched and lock the cell in growth permanently.
Now restoring sufficient oxygen is not going to help us out anymore and low insulin is also not going to be sufficient to resolve the cancer cell but the above described protocol targets everything possible to kill this growth and resolve the cancer.
Donation
If you found this information useful, if you managed to improve your outcome or your loved one using this information, please consider a donation to show your appreciation.
I continue to invest a lot of time going through research and want to make it available to anyone who can benefit from it.
— THE END —







Leave a comment